Что значит увеличенное сердце
Сердце – это мышца, естественной задачей которой является перекачка крови внутри тела, для доставки питательных веществ и кислорода во все клетки и удаления отходов жизнедеятельности. Если сердце подвергается чрезмерной нагрузке, то начинает увеличиваться, и от обычных 350-380 граммов может превысить 500 грамм.
Увеличенное сердце характеризуется увеличением объемной массы как миокарда, т.е. мышечной структуры сердца, так одновременным расширением полостей сердца: правое предсердие, левое предсердие, правый желудочек, левый желудочек, по которым течет кровь.
Какие симптомы может вызвать увеличенное сердце
Иногда увеличенное сердце может быть бессимптомным, но в некоторых случаях увеличение сердца проявляется патологическими симптомами:
- Одышка.
- Нехватка воздуха.
- Боли в грудной клетке, похожие на возникающие при стенокардии.
- Аритмия, внезапная тахикардия.
- Отеки и задержка жидкости, особенно в лодыжках.
- Усталость и головокружение.
- Повреждения кожи и боли в суставах при синдроме Фабри.
- «Дыхание сердца» (характерный звук крови, которая течет через клапаны, типичный синдром «сердца спортсмена»).
Что делать в случае увеличенного сердца
Не всегда увеличение сердца является патологическим, и потому часто возникает вопрос, как себя вести в случае такого расстройство? Очевидно, что многое зависит от причины. У профессиональных спортсменов или тех, кто увлекается одной спортивной дисциплиной, всегда развивается патология, которая называется синдромом сердца спортсмена.
Спортсменам требуется большая дальность доставки крови, что, очевидно, обеспечивается большим усилием сжатия сердца. Эффектом этой дополнительной работы является физиологическое увеличение сердца, без какого-либо риска для здоровья. В случае, если дополнительная работа сердца обуславливается любым препятствием в доставке крови, то происходит патологическое увеличение миокарда.
Причины патологической кардиомегалии
Если, с помощью рентгенографии грудной клетки, будет наблюдаться увеличение сердца, прежде всего, необходимо выявить причину патологии и оценить процент фиброзной ткани.
Ниже приведены основные причины, которые определяют патологическое увеличение сердечной мышцы:
- Порок сердца. Все болезни системы кровообращения, которые вызывают увеличение сопротивления кровотоку, приводят к увеличению сердечной мышцы. Типичными являются заболевания клапанов, в частности, атриум клапанов желудочка сердца (трехстворчатого и митрального), аортального и легочного.
- Гипертония, то есть повышение артериального давления, что приводит к гипертрофии левого желудочка.
- Аритмии сердца, изменения скорости сердцебиения, которая может увеличиваться (тахикардия) или уменьшаться (брадикардия) из-за неисправности в работе электрических цепей сердца.
- Легочная гипертензия, аномалии давления в легких, вызванные, в свою очередь, дыхательной недостаточностью и бронхопатией.
- Генетические заболевания обмена веществ, такие как синдром Фабри, связанный с X-хромосомой, что вызывает накопление гликолипидов внутри ткани.
- Отравление от чрезмерного употребления алкоголя, такое сердце часто называют пивным или этиловым сердцем.
- Анемия, которая вынуждает сердце работать более интенсивно и может с течением времени привести к сердечной недостаточности.
- Гемохроматоз или избыточное накопление железа в тканях, отвечает за сердечно-сосудистые заболевания и аритмию.
- Амилоидоз, определяется накопление в тканях амилоида – белкового материала, похожего на крахмал
- Заболевания щитовидной железы, такие как гипотиреоз.
- Кардиомиопатия, – это заболевание сердечной мышцы, которое вызывает утолщение сердечной мышцы.
Диагностика увеличенного сердца – исследования
Чтобы сделать правильный диагноз увеличенного сердца, а затем назначить соответствующие методы лечения, специалист прибегает к ряду анализов и обследований:
- ЭКГ, либо Холтер-мониторинг, т.е. запись ЭКГ в течение 24 часов, а также ЭКГ под нагрузкой, которое позволяет выявить аритмию.
- Эхокардиограмма, которая обнаруживает наличие обструкций сердца.
- RX. Для оценки сердечной тени.
- Ядерный магнитный резонанс с помощью контрастного вещества гадолиния. Для выделения волокнистых областей миокарда.
- Катетеризация сердца с введением микрокамеры для оценки возможных извержений из желудочка в аорту.
Терапия и препараты для лечения кардиомегалии
Часто патология увеличенного сердца имеет доброкачественно течение и не требует лечения. Если увеличенное сердце зависит от спортивной нагрузки, достаточно прекратить тренировки, синдром медленно регрессирует: объем сердца и частота сокращений возвращаются в нормальные рамки. Если кардиомегалия имеет патологический характер, то лечение подбирается в соответствии с причиной. Может потребоваться лекарственная терапия. В основном, используются лекарственные средства для контроля кровяного давления, в частности:
- Диуретики для снижения количества натрия и воды.
- Бета-блокаторы для снижения давления крови,
- Антиаритмические средства и антикоагулянты для предотвращения образования тромбов и, следовательно, возникновения инсультов и инфарктов.
В тяжелых случаях кардиолог может принять решение использовать хирургическое вмешательство, направленное на удаление неисправных клапанов или координации сокращений желудочков сердца с помощью кардиостимулятора, чтобы уменьшить риск инфаркта.
Риски и возможные осложнения кардиомегалии
Увеличенное сердце может повлечь значительные риски для больного, которые зависят от основного заболевания, вызвавшего увеличение сердца. Когда сердце становится слишком большим, некоторые части миокарда подвергаются действию большего давления и, следовательно, повышенной опасности ишемии и опасных осложнений, таких как инсульт и инфаркт.
Однако, статистики отмечают, что с патологией можно жить без серьезных последствий, держа её под контролем с помощью соответствующего лечения. В России, на самом деле, около 9,4 миллионов человек имеют увеличенное сердце, особенно в части левого желудочка.
Дифференциальный диагноз при кардиомегалиях.
Понятие кардиомегалии (КМГ). Под кардиомегалией понимается значительное увеличение размеров сердца за счет его гипертрофии и дилатации (реже — инфильтративных процессов).
Общие признаки кардиомегалий:
нарушение ритма и проводимости
физикальные данные: расширение границ сердца, приглушение или глухость тонов, ослбление 1 тона на верхушке, проявление протодиастолического или пресистолического ритма голопа (3 и 4 тоны), шумов относительной митральной и трикуспидальной недостаточности (шумы регургитации), реже -диастолический шум функционального митральноо стеноза (Флинта) и диастолический шум относительной недостаточности легочной артерии (Грехем-Стила).
Специфические признаки определяются тем заболеванием, которое привело к КМГ:
Классификация КМГ
Ишемическая болезнь сердца
атеросклеротический кардиосклероз
постинфарктный кардиосклероз
аневризма сердца
Пороки сердца
приобретенные пороки
врожденные пороки
Гипертензии артериальные
гипертоническая болезнь
вторичные гипертензии
Миокардиты
миокардит ревматический
миокардиты вирусные
миокардиты риккетсиозные, бактериальные и спирохетозные
миокардиты грибковые и паразитарные
миокардиты неинфекционне аллергические и токсико-аллергические.
миокардит идиопатический Абрамова-Фидлера
миокардитический кардиосклероз
Кардиомиопатии первичные
дилатационные или застойные кардиомиопатии
Кардиомегалия — значительное увеличение размеров сердца за счет его гипертрофии и дилатации или накопления продуктов нарушенного обмена веществ, или развития неопластических процессов. Гипертрофия миокарда (за исключение КГМ) является компенсаторной реакций, позволяющей сердцу поддерживать нормальное кровообращение при наличии того или иного патологического состояния. Гипертрофия никогда не приводит к значительному увеличению размеров сердца и сопровождается лишь умеренным расширением его границ. КМГ возникает, как правило, при развитии миогенной дилатации сердца и характеризуется различными симптомами сердечной недостаточности и нарушением ритма. В зависимости отпричин, вызывающих увеличение размеров сердца, первоначально возможно развитие парциальной КМГ (значительное увеличение отдельной сердечной камеры). В последствии развивается тотальная КМГ. Диффузные поражения миокарда сразу приводят к тотальной КМГ. Чаще всего степень КМГ зависит от длительности патологического процесса, вызывающего увеличение размеров сердца, и его выраженности.
Гипертензии артериальные.
Являются одной из частых причин увелиения размеров сердца. Как правило, тяжесть течения артериальной гипертензии и длительности ее существования соответствует выраженности КМГ, однако встречаются исключения.
Увеличение размеров сердца при ГБ и АГ является обязательным симптомом и проходит несколько этапов. Вначале развивается концентрическая гипертрофия, вовлекающая в процесс » путь оттока» из левого желудочка от его верхушки до клапанов аорты. В этот период увеличение левого желудочка физикально может не определяться, хотя достаточно часто пальпируется усиленные верхушечный толчок, особенно в положении на левом боку. В случае умеренной гипертензии такое состояние может длиться годами.
В дальнейшем развиваются гипертрофия и дилатация «пути притока» левого желудочка отлевого атриовентрикулярного отверстия до верхушки; гипертрофия принимает эксцентрический характер, левая граница сердца смещается влево и вниз, верхушечные толчок становится высоким и приподнимающим. На этом этапе возможно также увеличение левого предсердия и выявление некоторого сглаживания талии сердца при перкуссии границ относительной сердечной тупости.
Ишемическая болезнь сердца.
КМГ возможна при некоторых формах ИБС (даже без АГ). Развитие гипертрофии миокарда в этих случаях также является компенсаторным процессом. Увеличение размеров сердца типично для любого обширного инфаркта миокарда, осложнившегося сердечной недостаточностью, постинфарктного и атеросклеротического кардиосклероза, аневризмы левого желудочка.
Атеросклеротический кардиосклероз.
Атеросклеротический кардиосклероз обычно сочетается с симптомами атеросклероза мозговых артерий, аорты, крупных периферических артерий.
Для диагностики широко используются рентгенологические методы, ЭКГ диагностика. Ценную информацию несет эхокардиография, выявляющая сегментарное нарушение сократимости — различные виды асинергии: гипокинезию, дискинезию, акинезию. Коронарография обнаруживает различную степень стенозирования коронарных артерий и подтверждает атеросклетическую природу ишемической кардиомиопатии.
Аневризма сердца.
Развивается у 12-15% больных , перенесших трансмуральных инфаркт миокарда. Один из ранних симптомов аневризмы передней стенки левого желудочка — прекардичальная пульсация в 3-4 межреберьях слева от грудины, что определяется пальпаторно и на глаз ( симптом «коромысла»). Аневризмы , расположенные у верхушки сердца, нередко выявляют феномен двойного верхушечного толчка: его первая волна возникает в конце диастолы, а вторая является самим верхушечным толчком. Более редкие аневризмы задней стенки левого желудочка диагностируются труднее из-за отсутствия патологической пульсации передней грудной стенки. Верхушечный толчок у больных обычно усилен. Имеется несоответствие между усиленной пульсацией в области верхушки сердца и малым пульсом на лучевой артерии. Пульсовое артериальное давление снижено. ЭКГ: отсутствие динамики острого инфаркта миокарда (застывший характер кривой: смещение сегмента S-T вверх, появление комплекса QS в соответствующих отведениях) — важный диагностический признак аневризмы сердца. Электрокимография выявляет парадоксальную пульсацию контура сердца. Применяется также рентгенография и томография сердца. Эхокардиография выявляется зону дискинезии и акинезии. Используется также радионуклидная вентрикулография и коронарография.
Миокардиты.
Умеренное увеличение размеров сердца при диффузных миокардитах встречается практически всегда, но КМГ характерна лишь для миокардитов с тяжелым течением. Часто клиническая картина миокардита, независимо от его причины, сходная и зависит прежде всего от выраженности поражения миокарда. Увеличение размеров сердца при миокардитах проивходит обычно за счет дилатации и редко сопровождается выраженной гипертрофией миокарда. В диагностическом плане имеют значение связь заболевания с перенесенной инфекцией, признаки воспаления, ЭКГ -данные. Лабораторные исследования выявляют лейкоцитоз со сдвигом лейкоцитарной формулы влево, увеличение СОЭ, диспротениемию, преимущественно за счет увеличения уровня альфа-2 и гамма-глобулинов, повышение сывороточных мукопротеинов и гликопротеинов, гиперфибриногенемию, появление С-реактивног протеина и другие изменения, типичные для любого воспаления. Определенную диагностическую ценность имеет обнаружение в крови стрептококковог антигена, а также повышение титра АСЛ-О, АСК, АСГ. Иногда в сыворотке крови могут быть найдены антикардиальные антитела.
При тяжелых диффузных миокардитах возможно некоторое повышение активности «сердечных» ферментов: КК, ЛДК, особенно ее первого изофермента. Реже повышается уровень АсАт. Изменения ЭКГ: могут быть преходящие изменения вольтажа всех зубцов, нарушение реполяризации миокарда (уплощение и инверсия зубца Т, снижение интервала ST).
При вирусном миокардите в первую неделю болезни возможно выделение вируса из смывом носоглотки, крови, кала с последующим посевом материала на различные среды (куриный эмбрион, культура фибробластов, эмбриональная ткань почек). В качестве ранней диагностики применяется также люминесцентная микроскопия мазков — отпечатков со слизистой носа, иммунофлюоресцентное исследование. Со 2-3 недели болезни необходимо исследование антител к вирусу в сыворотке крови (обязательно в динамике). Для доказательства патогенической роли вируса важно выявление ротса титра антител. Часто в период реконвалесценции титр антител в 4 и более раз выше, чем в острую фазу. Следует помнить, что возможно носительство антител, например к вирусу Коксаки, у 5-10% здоровых лиц, а обнаружение антител к вирусу Коксаки в низких (1/8, 1/16) и средних титрах (1/32, 1/64) без последующего роста титра свидетельствует о перенесенной в прошлом инфекции.
Наиболее тчным методом диагностики миокардита любой природы является биопсия миокарда. Применяется также сцинтиграфия миокарда с Ga67, который накапливается в участках воспаления.
Миокардитический кардиосклероз.
Является исходом любого миокардита. Ввиду того, что хронически текущине миокардиты более или менее часто обостряются, не всегда легко провести четкую грань между хроническим миокардитом и миокардитическим кардиосклерозом. Острые миокардиты всегда приводят к кардиосклерозу. Последствием диффузных миокардитов может быть выраженный миокардитический кардиосклероз, приводящий к увеличению размеров сердца (чаще -умеренному, реже — значительному). Преобладает дилятация камер сердца, нежели их гипертрофия, что изначально типично для миокардитов. Симптомы неспецифичны: хроническая сердечная недостаточности, проявляющаяся застоем в легких и недостаточностью правого желудочка. Специфических методов диагностики нет. Важную роль играет анамнез — перенесенный и прошлом миокардит.
Пороки сердца.
Являются одной из самых частых причины КМГ, которая в начале может быть парциальной. Размеры сердца и степень увеличения отдельных камер в большой сетпени зависят от характера порока. См. Методическое пособие «Дифференциальный диагноз при шумах сердца».
Синдром Марфана.
Комплекс наследственных аномалий (наследование аутосомно-доминантное), связанных с поражением соединительной ткани. Типичны изменения скелета, включащие ненормально длинные конечности («паучьи» пальцы или «пальцы мадонны»), экзостозы, куриную грудь, spina bifida и др. Поражены мягкие ткани (гипоплазия мускулатуры, перерастяжимость сухожилий и суставов), глаза (большая роговица, аниридия, отсутствие ресниц, выраженная миопия, эктопия хрусталика, колобома), ЦНС (пирамидные симптомы, гипофизарно-диэнцефальные расстройства, умственное недоразвитие). Характерны аномалии внешнего облика: большой нос и невыраженный подбородок (так называемое «птичье лицо»), дисплазия ушных мочек, старческий вид. Среди поражений внутренних органов кроме изменений в легких (уменьшение числа долей) очень важную роль в клинической картине болезни играет патология сердца и аорты: чаще всего встречается расширение проксимального отдела аорты, что может привести к аортальной регургитации и симптомам аортальной недостаточности, а также к расслоению аорты. Часто возникает митральная недостаточность. Все эти изменения приводят к кардиомегалии и застойной сердечной недостаточности. Средняя продолжительность жизни больнхы — немногим более 30 лет, свыше 90% больных погибают от прогрессирующей сердечно-сосудистой патологии.
Кардиомегалии первичные.
Болезни миокарда неизвестного происхождения, клиническая картина которых характеризуется КМГ, различными нарушенями ритма, прогрессирующей сердечной недостаточностью, не обусловленными первичным поражением коронарных артерий, клапанного аппарата сердца ил изменениями системной и легочной гемодинамики. См. Соответствующие методические рекомендации.
Дилатационные или застойные кардиомиопатии (ДКМП).
Характеризуются дилатацией и вторичной гипертрофией всех отделов сердца, преимущественно желудочков, со снижением из пропульсивной способности. В натоящее время обсуждается связь ДКМП с очаговой инфекцией, в частности вирусной, особенной с кардиотропными штаммами вируса Коксаки В. Вирусная инфекция инициирует развитие иммунопатологических реакций против сердечной ткани. До сих пор, по мнению некоторхы кардиологов, не решен вопрос о связи ДКМП и идеопатического миокардита Абрамова-Фидлера. Описана своеобразная форма ДКМП, развивающаяся в поздние сроки беременности или (чаще) в первые 3 месяца после родов: перипортальная ДКМП — чаще всего она возникает в некоторхы странах Африки. Роль наследственности в развитии ДКМП строго не доказана , хотя в последнее время появилисть данные о генетической предрасположенности к развитию ДКМП у носителей антигена HLA DR4.
Симптомы заболевания чаще всего появляются исподволь, и КМГ может быть случайной находкой, хотя описаны острые и подострые формы зболевания с быстрым прогрессированием сердечной недостаточности и смертью в течение 1-2 лет. При более медленном течении длительности жизни больных от момента появления первых клинических симптомов может быть 7-8 лет, особенно у более молодых больных. Типично резкое увеличение всех размеров сердца, формирование cor bovinum преимущественно за счет дилатации. Вторичная гипертрофия бывает чаще всего умеренной. Больные обращаются к врачу обычно в возрасте 40 лет с жалобами на кардиалгию, одышку, перебои в сердце. Иногда можно получить сведения о том, что у них еще до появления жалоб обнаруживали увеличение размеров сердца и различные изменения на ЭКГ. В начале появления симптомов сердечной недостаточности обращает на себя внимание несоответствие незначительной степени ее выраженности столь большому увеличению сердца. В дальнейшем сердечная недостаточность, рефрактерная к лечению, неуклонно прогрессирует, развивается тотальная сердечная недостаточность с анасаркой и асцитом. Верхушечный толчок часто ослаблен, артериальное давление снижено. Типичным проявлением ДКМП являются тромбоэмболические осложнения. Возможны эмболии в большом и малом круге кровообращения, но чаще все же встречаются легочные эмболии. Иногда зи-за эмболии коронарных артерий развивается острый инфаркт миокарда с типичным болевым синдромом. Без этого осложнения болевой синдром у больных с ДКМП редко является ведущим. Сиптомы, выявляемые при аускультации сердца неспецифичны и характерны для дилатации сердечных камер любой причины: глухой 1 тон, 3 и 4 тоны, ритм галопа (протодиастолический или суммационный), акцент 2 тона над легочной артерией, систолические шумы соответствующего характера, типичные для относительной недостаточности митрального и трикуспидального клапанов, иногда — относительной аортальной недостаточности и относительного митрального стеноза, диастолические шумы. Типичны различные нарушения ритма и проводимости.
Необходимы тщательный сбор анамнеза и подробное физикальное исследование для исключения клинически известных причин столь значительной КМГ: пороков сердца, артериальной гипертензии, ИБС, некоторых вторичных кардиомиопатий, например, алкогольной, миокардита Абрамова-Фидлера. ЭКГ практически у всех больных выявляетс различные нарушения ритма и проводимости (желудочковые экстрасистолы, блокады ножек пучка Гиса, АВ-блокады, желудочковая тахикардия, мерцательная аритмия), иногда — инфарктоподобные изменения и истинные инфаркты миокарда, гипертрофию различных камер сердца. Рентгенологически обнаруживается увеличение размеров сердца, повышение кардиоторакального индекса (КТИ). КТИ более 0.55 считается неблагоприятным прогностическим признаком.
Эхокардиография позволяет исключить клапанные пороки сердца, оценить состояние камер сердца и толщину их стенок. Сцинтиграфия миокарда с Tl201 выявляет мозаичный мелкоочаговый характер поражения. Радионуклидная вентрикулография обнаруживает увеличение камер сердца, диффузное снижение сократительной способности стенки сердца, иногда видны пристеночные внутрижелудочковые тромбы. Используются компьютерная и ядерная магнито-резонансная томография. Возможны биопсия миокарда и гистологическое исследование биоптата.
Обструктивные гипертрофические кардиомиопатии или идеопатический гипертрофический субаортальный стеноз (ОГКМП).
Заболевание при котором возникает непропорциональное утолщение какой-либо части или всех межжелудочковой перегородки, ввиду чего полость левого желудочка суживается и возникает его «обтурация» во время систолы. Отношение толщины межжелудочковой перегородки к толщине свободной стенки левого желудочка превышает 1.3/3. Имеются данные о наследственном характере заболевания, поскольку выявлены семейные формы и найдена связь с некоторыми генами главного комплекса гистосовместимости: HLA DR4; B27; DR1.
На первой стадии заболевания жалобы отстутсвуют, и лишь случайно обнаруживаются кардиомегалия, в основном за счет гипертрофии и дилатации левого желудочка, разнообразные изменения ЭКГ и сердечные шумы: наиболее характерен систолический шум изгнания, отстающий от 1 тона, который , в отличие от похожего на него шума клапанного аортального стеноза, имеет максимум в 4 межреберье слева от грудины, не проводится на крупные сосуды и не изменяется по интенсивости в зависимости от положения тела. 2 тона на основании сердца сохранен. В дальнейшем возможно появление систолического шума регургитации из-за относительной недостаточности митрального клапана, реже диастолического шума относительного митрального стеноза. На первой стадии болезни возможно возникновение синкопальных состояний из-за аритмий и ишемии мозга, особенно при значительной физической нагрузке. У некоторых больных длительное время возможно моносиндромное течение болезни: кардиалгическое, аритмическое, псевдоклапанное (физикальные признаки порока сердца); инфарктоподобное (патологические зубцы Q в 1, AVL, V3-V4 и других отведениях без болевых приступов) и др.
Появляющиеся во 2 стадии жалобы на сердцебиение, перебои, кардиалгию, иногда на типичные приступы стенокардии напряжения, одышку, прогрессируют более медленно, чем сходные проявления у больныхи ДКМП и возникают часто в более молодом возрасте. Внешний осмотр выявляет усиленный и смещенный влево и вниз верхушечный толчко, вохможен симптом коромысла: два систолических движения предсердечной области, сходные с таковыми при аневризме передне-боковой области левого желудочка. Иногда определяется сердечный горб, пульс часто скачущий и аритмичный, артериальное давление снижено или нормальное. В клинической картине возникает и рецидивирует синдром сердечной астмы, наступает «митрализация» болезни, нарастают симптомы хронической левожелудочковой сердечной недостаточности правого сердца, возникает тотальная сердечная недостаточность. В отличие от ДКМП тромбоэболические осложнения возникают реже.
Описан молниеносный вариант болехни, при котором смерть наступает в течение первых суток и даже первых 6 часов с начала клинических проявлений болехзни, до этого времени протекавшей бессимптомно. Некоторые редкие наследственные заболевания включают гипертрофическую кардиомиопатию в качестве важнейшенго составного эалемента, в частности синдром Leopard. Каждая буква названия обозначает признак: веснушки, нарушения проводимости, гипертелоризм, стеноз легочной артерии, нарушение развития половых органов, низкий рост, глухота. Не все эти признаки наблюдаются у каждого больного. Наиболее часто сочетание глухоты, низкого роста, обильных веснушек и изменений сердца в виде стеноза легочной артерии и гипертрофической (часто обструктивной) кардиомиопатии, с сужением выходного отдела левого желудочка, обусловленного гипертрофией папиллярных мышц и (или) межжелудочковой перегородки.
ЭКГ: типична выраженная гипертрофия левого желудочка, иногда Р-mitrale; разнообразные нарушения ритма и проводимости, возможен синдром WPW, синдром слабости синусового узла, часто инфарктоподобные изменения , выраженные нарушения реполяризации (косой подъем S-T и высокий Т), могут псевдоинфарктные Q в отведениях 2, 3, AVF, V4-V6 в связи с гипертрофией межжелудочковой перегородки.
ФКГ выявляет ромбовидный шум изгнания , амплитуда которого возрастае при пробе с нитроглицерином, амилнитритом, пробе Вальсальвы, при быстром переходе в вертикальное положение, так как во всех случаях уменьшается конечный диастолический объем левого желудочка. Часто регистрируются 3 и 4 тоны, возможен систолический шум митральной регургитации.
Рентгенография и томография выявляют увеличение размеров соответствующих камер сердца. Кривая каротидограммы принимает характерный двугорбый вид, напоминающий «клешню рака». Важную информацию несет эхокардиография, выявляющая динамическую обструкцию пути оттока из левого желудочка, уменьшение полости левого желудочка, малую подвижность межжелудочковой перегородки, смещение в систолу створки митрального клапана и др. Радионуклидное сканирование миокарда с 201 Tl визуализирует субаортальный стеноз. При катетеризации сердца выявляется градиент давления внутри полости левого желудочка, который в систолу может достигнуть 170 мм. Рт. Ст. Коронарография показывается , как правило, неизмененные коронарные артерии. Новым важным методом диагностики является ЯМР-томография.
Причины кардиомегалии
Увеличение размеров и массы сердечной мышцы не обязательно возникает вследствие какого-то заболевания. Так, например, у человека, профессионально занимающегося спортом, увеличенная сердечная мышца является не признаком тяжелой болезни, а вполне закономерным проявлением общего увеличения мышечной массы в организме. Такое сердце, наоборот, характеризует общую тренированность и выносливость организма, а также способность адекватно обеспечивать кровоснабжение органов и мышц в условиях сильных физических нагрузок. Ведь чем больше мышечная масса человека, тем больше крови должно поступать к мышцам, и, соответственно, сердце должно работать сильнее, чем у нетренированного человека.
Аналогичным образом можно описать и сердце у лиц с гипертеническим типом телосложения, у которых размеры и масса тела значительно больше, чем у лиц в популяции. Но тут необходимо учитывать именно наличие значительно развитой мускулатуры, и не следует путать гиперстеников с лицами, страдающими ожирением.
Кроме физиологических причин, способствующих увеличению размеров сердца, часто к развитию кардиомегалии приводят определенные заболевания. К ним относятся:
1) Болезни сердечно-сосудистой системы
Как правило, здесь имеют место пороки клапанов сердца и гипертоническая болезнь. Гипертрофия миокарда обусловлена тем, что при нарушениях гемодинамики по сердцу (при клапанной патологии) или при высоком сопротивлении сосудистой стенки (при гипертонии) сердце вынуждено прилагать больше усилий, чтобы протолкнуть кровь в нужном направлении. По мере увеличения силы сердечных сокращений наращиваются мышечные волокна в сердце и развивается гипертрофия миокарда. В конечном итоге прогрессирующее увеличение сердечной мышцы затрагивает все сердечные камеры и развивается кардиомегалия.
Кроме данных заболеваний, к кардиомегалии могут приводить вирусные миокардиты (воспалительные процессы в сердечной мышце) и кардиомиопатии (КМП) (нарушения нормальной архитектоники сердца) алиментарно-токсической или дисгормональной природы. Кардиомиопатия в первом случае обусловлена патологическим влиянием алкоголя у лиц, систематически его употребляющих, а во втором случае – опять же, патологическим, влиянием некоторых гормонов на сердечную деятельность, например, гормонов щитовидной железы или надпочечников.
Опухоли сердца, такие как рабдомиомы, миксомы и другие, всегда приводят к увеличению массы сердца и к изменению его конфигурации.
Тем не менее, кардиосклероз, например, после перенесенного инфаркта миокарда, пусть даже и крупноочагового, к кардиомегалии приводит редко. Это связано с тем, что при кардиосклерозе значительная часть нормальной сердечной мышцы замещается рубцовой тканью, а компенсаторная гипертрофия миокарда непораженных участков сердца к общему увеличению его размеров и массы не приводит.
2) Прочие заболевания
Кроме патологии сердца, к кардиомегалии могут привести другие заболевания, порой не менее серьезные, чем сердечные.
Так, сахарный диабет нередко сочетается с нарушениями жирового и белкового обмена, что в конечном итоге отражается на сердце и сосудах, его кровоснабжающих – коронарных артериях. В частности, отложению избытка холестерина на стенках коронарных артерий, в немалой степени способствует токсическое действие излишка глюкозы на внутреннюю выстилку сосудов – на эндотелий. В результате у пациента развивается ишемическая болезнь сердца, могущая послужить причиной гипертрофии миокарда и кардиомегалии.
Анемия, выраженное истощение, голодание и соблюдение крайне жестких и тем самым опасных диет, выраженное ожирение – все эти нарушения в организме приводят к формированию кардиомиодистрофии – нарушенного нормального функционирования сердечных мышечных клеток. Это вызывает компенсаторное увеличение некоторых отделов сердца, а затем и всего органа.
Симптомы «бычьего сердца»
Если кардиомегалия обусловлена профессиональными занятиями спортом или конституциональными особенностями человека, о которых говорилось ранее, никаких симптомов со стороны сердца у человека наблюдаться не должно.
А вот в случае каких-либо заболеваний тех или иных органов клинические проявления присутствуют, но они не являются строго специфичными и определяются основной патологией. Если в силу сердечных заболеваний у пациента развивается хроническая сердечная недостаточность, то он будет предъявлять жалобы на повышенную утомляемость, незначительную или выраженную одышку при физических нагрузках, периодические боли в грудной клетке и др.
Также могут отмечаться отеки на голенях и стопах, ощущения перебоев в работе сердца, постоянная слабость и снижение переносимости физической активности. При появлении указанных жалоб пациенту необходимо как можно скорее обратиться к врачу, особенно, если у него имеются хронические заболевания.
Кардиомегалия у плода и детей
Увеличение сердца, возникающее во время внутриутробного периода, является врожденным и очень серьезным заболеванием. Кардиомегалия у плода может развиться в связи с воздействием негативных факторов на беременную в период закладки сердечно-сосудистой системы, которая начинает развиваться у эмбриона очень рано – со второй по восьмую недели. То есть уже на 17-й день начинает оформляться кардиогенная пластинка, а к началу третьего месяца беременности у эмбриона уже формируется четырехкамерное сердце.
Итак, негативные факторы, оказывающие влияние на сердечно-сосудистую систему будущего ребенка:
- Ионизирующее, в том числе рентгеновское излучение, радиация,
- Вирусные заболевания матери, особенно краснуха, тяжелые штаммы гриппа, цитомегаловирусная инфекция, герпес и др,
- Курение, алкоголь, наркотики,
- Употребление некоторых препаратов, например, противосудорожных, барбитуратов и др,
- Жесткое нарушение диеты, голодание, истощение, серьезные авитаминозы.
Кроме этого, нельзя исключить наследственность, особенно по материнской линии.
Вследствие перечисленных факторов у плода могут сформироваться пороки сердца, например, аномалия Эбштейна, чаще других приводящая к умеренной кардиомегалии. Как правило, кардиомегалия у плода сочетается и с другими пороками развития, а также с врожденными хромосомными нарушениями, например, с синдромом Дауна. В небольшой части случае видимых сердечных причин для кардиомегалии у плода нет, поэтому такой тип болезни называется идиопатической кардиомегалией.
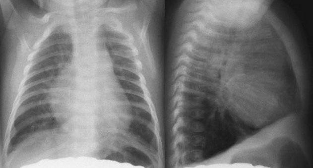
Симптоматика врожденного заболевания очень характерна и типична – у ребенка сразу после родов наблюдается цианоз лица или всего тела, одышка при плаче и сосании, выраженная тахикардия. Для подтверждения диагноза у новорожденных используют такие методы, как рентгенография органов грудной клетки и УЗИ сердца.
Прогноз врожденной кардиомегалии сомнительный, так как после родов младенцы выживают в 45% случаев, погибают – в 30% случаев, а оставшаяся часть детей имеет серьезные нарушения сердечной деятельности, однако, совместимые с дальнейшей жизнью.
Безусловно, в случае выявления причины, например, врожденного порока сердца у плода, приведшего к кардиомегалии, врачам действовать проще, в отличие от идиопатической формы заболевания, когда никакой видимой причины нет. Так, современное кадрово-техническое оснащение в некоторых перинатальных центрах и центрах сердечно-сосудистой хирургии, позволяет прооперировать малыша уже в первые дни после его появления на свет, а впоследствии выходить новорожденного и дать ему шанс на здоровое существование.
Кардиомегалия у детей раннего, дошкольного и школьного возраста формируется в случае некорригированных врожденных или приобретенных пороков сердца. Симптомы в основном сводятся к следующим признакам:
- Появление усталости, утомляемости,
- Плохому аппетиту,
- Нарушениям сна,
- Плохая успеваемость в школе,
- Неврологические нарушения,
- Психоэмоциональная лабильность.
Диагностика и лечение в случае приобретенной кардиомегалии мало чем отличается от таковых у взрослых людей.
Диагностика кардиомегалии
Так когда же правомочен диагноз кардиомегалии и какими методами он может подтвердиться? Безусловно, на первом месте по диагностической ценности стоит эхокардиоскопия (УЗИ сердца).
Размеры сердца по УЗИ в норме соответствуют следующим показателям:
- КДО – конечный диастолический объем – 110-145 мл,
- КСО – конечный систолический объем – 45-75 мл,
- ФВ — фракция выброса – 55-65%,
- УО – ударный объем – 60-80 мл.
При кардиомегалии описанные объемные параметры увеличиваются. Также измеряются размеры полостей сердца и толщина гипертрофированных стенок предсердий и желудочков, если таковые имеются. ФВ, однако, может быть сниженной, причем значительно, у пациентов с хронической сердечной недостаточностью или дилатационной кардиомиопатией. Кроме измерения характеристик сердца, визуально оценивается конфигурация органа и деятельность клапанного аппарата.
В качестве дополняющих эхокардиоскопию методов используются рентгенография органов грудной клетки, электрокардиограмма, МРТ сердца или пункционная биопсия сердечных тканей (при подозрении на опухоль сердца с целью верификации диагноза, очень редко).
«Золотым стандартом» диагностики сердечной патологии остается УЗИ сердца, особенно у новорожденных детей и детей первого года жизни. Обязательно данное исследование стоит провести спортсменам и лицам с гиперстеническим типом конституции, для исключения серьезной кардиологической патологии.
Видео: кардиомегалия, дилатационная кардиомиопатия на ЭхоКГ
Лечение кардиомегалии
Если говорить о лечении «бычьего сердца» без врожденных пороков у новорожденных детей и детей раннего возраста, то терапия в первую очередь назначается медикаментозная – каптоприл 1.8 мг/кг массы новорожденного 3-4 раза в сутки. Этот препарат является ингибитором АПФ и оказывает органопротективное влияние на сердечные ткани. Если под влиянием данного препарата происходит постепенное снижение показателей КДО и КСО по результатам УЗИ, то можно говорить о начале выздоровления. Нормализация сердечной деятельности происходит постепенно, в течение двух-трех лет.
В случае, когда у ребенка диагностирован врожденный порок сердца, необходима операция в сроки, установленные врачом (детским кардиохирургом) при очном осмотре.
У взрослых терапия направлена на ликвидацию причинного заболевания, вызвавшего увеличение сердца. При пороках также показано оперативное лечение; при хронической сердечной недостаточности — мочегонные препараты (индапамид 1.5 мг утром, верошпирон 25-50 мг утром и др), при гипертонии – гипотензивные препараты (периндоприл 5 мг х 1 раз, эналаприл 5 мг х 2 раза и др), при гормональных нарушениях – коррекция гормонального фона под наблюдением эндокринолога.
В крайне тяжелых случаях, когда у пациента резко страдает качество жизни и снижается переносимость минимальной бытовой активности, ему может быть выполнена операция по пересадке сердца. В настоящее время такие операции проводятся в России и за рубежом.
Прогноз при увеличенном сердце
Прогностическое значение кардиомегалии определяется в первую очередь, характером, стадией и длительностью причинного заболевания. Так, хроническая сердечная недостаточность, обусловленная дилатационной кардиомиопатией, к примеру, может очень быстро прогрессировать до тяжелых стадий в течение двух-трех лет. Смертность среди такой группы пациентов несомненно выше, чем у лиц с прооперированным пороком сердца и отсутствием сердечной недостаточности. В любом случае, прогноз определяется только в результате наблюдения лечащего врача за пациентом, и немалую роль при этом играют данные эхокардиоскопии.
Причины возникновения недуга
Врожденная кардиомегалия обусловлена многими наследственными факторами, лечить такое заболевание — это затруднительный процесс. Увеличенное сердце с самого рождения уменьшить практически нереально. Часто случается кардиомегалия у плода.
В ситуации с приобретенным недугом существует ряд факторов, влияющих на изменения размера и массы органа. Чаще всего кардиомегалия вызвана нарушениями кардиогемодинамики и болезнями сердца, такими как миокардит, кардиосклероз, гипертоническая болезнь, ишемия сердца, артериальная гипертония. Любая из перечисленных проблем способна вызвать стремительное увеличение органа в кратчайшие сроки. Виной кардиомегалии может стать чрезмерное употребление алкоголя, который негативно влияет на сердечно-сосудистую систему человека.
Спиртные напитки расширяют полости сердца. Часто подобные случаи заканчиваются весьма плачевно, то есть с летальным исходом. Дети страдают заболеванием из-за вирусов, которые атакуют иммунитет. В организме ребенка запускаются аутоиммунные механизмы, которые приводят к увеличению сердца. Физиологический вариант кардиомегалии имеет место. Спортсмены во время тренировок или соревнований увеличивают сердечные мышечные волокна. В этом случае рост органа не является патологией.
Симптомы и проявления патологии
Симптомы являются совершенно обычными для любого заболевания сердца:
- постоянная усталость и слабость;
- одышка после небольших нагрузок и любой активности;
- усиленное сердцебиение;
- одышка во время сна;
- набухание вен в области шеи;
- рост живота в размерах;
- чувство тяжести справа на уровне сердца.
Очень часто процесс протекает без симптомов, а бывает так, что кардиомегалия маскируется под другую болезнь, выдавая свои проявления за чужие. Сами люди на такие проблемы, как одышка и усталость после физических нагрузок, не реагируют, виня во всем свой пассивный образ жизни. Из-за этого очень часто диагностируют патологию совершенно случайно, при обследовании организма на иные проблемы.
Обнаружить проблему можно с помощью ЭКГ, но более точные результаты и причину болезни даст УЗИ сердца. Также сообщить о возможном заболевании могут характерные шумы в органе, которые врач непременно заметит при осмотре.
Методы диагностики
Во время обследования врач способен выявит болезнь, изучив цвет кожи, одышку, шумы в сердце. Полученная информация даст возможность диагностировать кардиомегалию на ранних стадиях.
Более полную и точную картинку можно получить с помощью рентгена. Именно данный способ является одним из наиболее популярных для диагностики различных патологий внутренних органов. Изучив полученные снимки, врач определит, увеличилось ли сердце. Если были обнаружены изменения, то диагностируют кардиомегалию.
Электрокардиография — лидирующий метод обследования сердца. С его помощью можно узнать большое количество нужной информации.
Эхокардиография поможет выявить причину развития заболевания. Это нужно для того, чтобы принять нужные меры и попытаться вернуть орган в прежнее состояние.
Катетеризация полостей сердца проводится уже перед хирургическим вмешательством. Необходимо подробно изучить внутренние органы, что выполнить операцию правильно. Врачу нужны знания о гемодинамике пациента.
Лечение и профилактика
Избавиться от патологии полностью нереально. Длительное лечение медикаментами и хирургическое вмешательство лишь приглушат активность и обеспечат профилактику заболевания. Но бороться с патологией необходимо, ведь последствия отсутствия несвоевременного лечения весьма плачевны.
Для остановки процесса роста сердца необходимо ограничить серьезные физические нагрузки. Лучше будет, если человек вовсе откажется от активности. Должна соблюдаться диета, рацион которой не содержит соли. Жидкость тоже нужно ограничить, а вот фрукты и овощи — главные гости в новом меню.
Лечение с помощью лекарств назначается в зависимости от причины возникновения болезни. Для каждой из причин существует своя группа рекомендованных препаратов. Часто для устранения боли из-за процесса увеличения сердца используют Дигоксин, Фуросемид, Верошпирон, Эгилок, Энап.
Хирургическое вмешательство поможет быстрее избавиться от симптомов патологии, но не от нее самой. Операция поможет устранить врожденные дефекты и притормозит развитие кардиомегалии.
Нельзя забывать о профилактике, ведь даже после операции симптомы патологии могут вернуться в кратчайшие сроки. Перед тем как начать действовать, необходимо точно узнать о болезнях, которые вызвали кардиомегалию. Данное заболевание не является самостоятельным. Поэтому лечить нужно причину увеличения сердца в размере и в массе. Рекомендуется избегать эмоциональных потрясений, депрессий, стрессов, волнений. Нужно обязательно следить за сердцем и периодически проходить осмотр у врача. Профилактикой станет исключение алкоголя и сигарет, а также здоровый образ жизни.

