Перикардит — воспалительное заболевание перикарда. Перикард — это наружная соединительнотканая оболочка сердца, которая покрывает его со всех сторон, прикрепляется к внутренней поверхности грудной клетки, диафрагме и частично к сосудам, отходящим от сердца. Наружная оболочка сердца призвана выполнять две основные функции: сохранять определенное положение сердца в пространстве и препятствовать растяжению сердца при возникновении внезапной объемной перегрузки.
Перикард состоит из двух слоев: внутренний (серозный), плотно соединен с сердцем и наружный (фиброзный), свободно окружающий сердце. Между этими слоями в норме находится до 20 мл жидкости, которая служит «смазкой» для снижения силы трения при движении сердца.
Причины перикардита
В зависимости от причины возникновения существует следующая классификация перикардитов:

Симптомы перикардита
В течение 6 недель от начала заболевания перикардит называют острым. На первый план выходят жалобы на боль в грудной клетке. Боль интенсивная, однообразная, практически постоянная. Боль максимально выражена в области сердца, усиливается при движении, глубоком дыхании, может отдавать в левую руку, в шею, в область левой лопатки. Интенсивность боли несколько уменьшается в положении сидя с наклоном вперед и при приеме нестероидных противовоспалительных средств, усиливается в положении лежа на спине. Появление или усиление боли не связано с физической нагрузкой, применение нитратов без эффекта. Эти специфические симптомы позволяют различить ишемическую болезнь сердца и перикардит. Кроме боли пациента беспокоит повышение температуры тела, возможно появление аритмии, понижение артериального давления и одышки в покое.
В процессе воспалительной реакции на листках перикарда выпадает фибрин (Рис. 1, а). Возникновение и постоянный характер боли связан с раздражением нервных окончаний перикарда выпавшим фибрином, а также трением утолщенных слоев перикарда в процессе движения сердца. С отложением фибрина связано возникновение специфического симптома — шума трения перикарда, который выслушивается только на этой стадии перикардита.
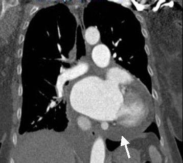
Следующей стадией перикардита является накопление жидкости в полости перикарда с развитием экссудативного перикардита (Рис. 1, б, в). При медленном накоплении жидкости существенных гемодинамических сдвигов может не быть, в то время как быстрое накопление экссудата при определенных состояниях быстро приводит к развитию тампонады сердца. Тампонада сердца — сдавление сердца экссудатом, является грозным осложнением, угрожающим жизни пациента.

Тампонада сердца. Стрелкой показана жидкость в полости перикарда
При этом за счет уменьшения наполнения правых отделов сердца формируется застой крови в большом круге кровообращения с увеличением печени, появления отеков нижних конечностей и жидкости в брюшной полости. Из-за уменьшения объема крови, который выбрасывается из левого желудочка, нарушается питание всех органов и тканей, особенно клеток головного мозга. Тампонаду сердца, как осложнение перикардита, можно заподозрить при повышении венозного давления (выбухание яремных вен, появление жидкости в брюшной полости, боли в правом подреберье за счет увеличения печени) на фоне падения артериального, появления сердцебиения, одышки при отсутствии хрипов в легких.
Внешний вид больного с тампонадой сердца
Без лечения тампонада сердца приводит к смерти пациента.
Подострый перикардит диагностируют в течение от 6 недель до 6 месяцев от начала заболевания. При этом боли в грудной клетке, слабость, повышение температуры, одышка выражены слабо. Симптомы заболевания зависят от степени выраженности морфологических изменений перикардиальных листков. Для адгезивного перикардита характерно возникновение сращений между слоями перикарда, а также образование спаек между сердцем и стенками грудной полости, а также с рядом расположенными органами (Рис. 1, г). Только при значительно выраженном спаечном процессе наблюдаются симптомы сердечной недостаточности, связанные с нарушением расположения сердца в пространстве или с его недостаточной подвижностью.
Констриктивный перикардит возникает при сращении на большом протяжении наружного и внутреннего листков перикарда (Рис. 1, д). Формируется плотный панцирь, охватывающий сердце, затрудняющий его наполнение кровью. В результате возникает сердечная недостаточность с застоем крови в области большого круга кровообращения. При значительной выраженности процесса констриктивный перикардит также может осложняться тампонадой за счет сдавления сердца ригидным перикардом.
Хронический перикардит диагностируется при течении заболевания более 6-ти месяцев. Для него характерны те же морфологические изменения, что и при подострой форме. Особого внимания заслуживает хронический констриктивный перикардит с обезыствлением, который также очень часто осложняется тампонадой сердца.
Диагностика перикардита
Электрокардиография (ЭКГ) позволяет диагностировать воспалительные изменения сердца, а также наличие жидкости в полости перикарда.
При рентгенографии органов грудной клетки определяется увеличенное в размерах сердце в остром периоде, при экссудативном перикардите за счет скопления жидкости.
Рентгенография органов грудной клетки при экссудативном перикардите
При уплотнении перикарда сердце уменьшается в размерах, возможно появление очагов обезыствления. Эхокардиография является золотым стандартом для определения перикардиального выпота и, в последующем, оценки динамики заболевания при лечении. В трудных случаях рекомендована компьютерная томография и магниторезонансная томография сердца.
Лечение перикардита
Для лечения перикардитов широко применяют нестероидные противовоспалительные препараты (индометацин) в сочетании с колхицином по определенной схеме. В случае доказанной инфекционной природы заболевания рекомендована антибиотикотерапия. Эффективность лечения оценивается через 2 недели после начала терапии. При улучшении состояния препараты постепенно отменяют. Отсутствие эффекта указывает на неправильную диагностику заболевания, либо на присоединение гнойных осложнений.
В качестве диагностической процедуры при неясной причине образования экссудата, а также с лечебной целью для предупреждения развития тампонады сердца при большом объеме выпота, применяется перикардиоцентез (пункция полости перикарда).
Техника проведения перикардиоцентеза
Перикардиоцентез проводится только в стационарных условиях. Единственным противопоказанием для данной манипуляции является расслаивающаяся аневризма аорты. При помощи ультразвука определяется точка на поверхности тела, наиболее близко расположенная к зоне скопления экссудата. Обычно это область прикрепления хряща VII ребра к грудине. После местного обезболивания производится послойный прокол тканей, и игла попадает в полость перикарда. После этого производится эвакуация определенного количества жидкости. Затем игла удаляется, накладывается асептическая повязка. Некоторое время пациент находится под наблюдением с постоянной визуализацией полости перикарда. Подготовки пациента к данной манипуляции и последующей реабилитации не требуется. В случае развития выраженной сердечной недостаточности в результате спаек или сращения листков перикарда показано хирургическое удаление спаек, рассечение сращений перикарда.
Прогноз при перикардите при адекватном лечении благоприятный. У пожилых или ослабленных пациентов возможно длительное, рецидивирующее течение заболевания с формирование констриктивных форм.
Врач терапевт Сироткина Е.В.
О каком заболевании идет речь
Если попытаться определить научным языком, что такое перикардит сердца, симптомы которого беспокоят многих людей, то можно сказать следующее: это асептическое или инфекционное воспаление париетального и висцерального листков перикарда. Но если говорить проще, то речь идет о хронической либо же острой форме воспаления наружной оболочки сердца (перикарда), причиной возникновения которой является ревматическое поражение, влияние инфекции или другие виды воздействий.
Для того чтобы понять суть этого заболевания, есть смысл обратить внимание на информацию общего характера.
Перикард — это околосердечная сумка, в которой и расположен такой важный орган, как сердце. При этом сам факт активного сокращения в такой сумке возможен благодаря ее особому строению, предотвращающему появление сильного трения.
Симптомы перикардита у взрослых дают о себе знать при условии, что функционирование и строение оболочки сердца оказываются нарушены. При этом возможно накопление в перикарде выпота (секрета), имеющего серозный или гнойный характер. Такую жидкость определяют как экссудат. Именно под ее воздействием происходит сдавливание сердца из-за чего нарушается выполнение его прямых функций. Очевидно, что подобное состояние является опасным и его нельзя игнорировать.
Если в перикарде произойдет чрезмерное скопление жидкости, то возникнет прямая угроза жизни человека. При таком состоянии избежать летального исхода можно лишь при немедленном вмешательстве.
Стоит отметить, что подобное заболевание проявляется чаще всего у женщин, реже — у мужчин. Что касается детей, то в раннем возрасте крайне редко ставится такой диагноз, хотя это иногда происходит.
Причины возникновения
Прежде чем рассматривать симптомы перикардита у человека, стоит выяснить, что предшествует появлению столь непростого заболевания.
Нужно понимать следующий факт — скопление жидкости может являться следствием различных процессов в организме:
— осложнение патологии внутренних органов;
— признак заболеваний непосредственно самого сердца;
— результат полученной травмы;
— проявление инфекционных заболеваний общего характера;
— признак системных заболеваний.
— инфекционно-аллергическая;
— инфекционная;
— неинфекционная (негнойная, асептическая).
Фактически речь идет о проблемах с состоянием околосердечной сумки при следующих заболеваниях:
— такие вирусные инфекции, как грипп и корь;
— паразитарные инвазии;
— туберкулез, при условии, что инфекция распространяется из внелегочного туберкулезного или первичного легочного очага;
— микробные заболевания (септические процессы, скарлатина, ангина);
— грибковые инфекции.
Помимо воздействия этих болезней, симптомы перикардита могут стать следствием сывороточной болезни или же лекарственной аллергии.
К отдельной группе проблем околосердечной сумки стоит отнести те формы перикардита, которые развиваются под влиянием формирующихся пороков перикарда с образованием дивертикулов и кист.
Разновидности заболевания
Как бы ни выглядели симптомы перикардита, они всегда будут свидетельствовать о развитии одного из двух ключевых видов данного заболевания: острого или хронического.
Если говорить о хроническом виде, то нужно обратить внимание на тот факт, что развивается он постепенно и может не давать о себе знать на протяжении нескольких лет. При этом такой перикардит имеет несколько распространенных форм:
— адгезивная, или слипчивая, во время которой образуются рубцы и пайки;
— смешанное появление спаек, жидкости и рубцов;
— выпотная, или экссудативная форма, характеризующаяся большим скоплением жидкости в околосердечной сумке.
Острый перикардит, симптомы которого появляются намного быстрее, также имеет несколько ключевых форм:
— выпотный, с образованием значительного объема жидкости (гной, кровянистое содержимое или плазма крови);
— фибринозный, или сухой, характеризующийся большим скоплением в полости перикарда клейкой субстанции из плазмы крови (фибрин).
Констриктивный и экссудативный перикардит: симптомы
Для того чтобы вовремя отреагировать на болезнь и начать своевременное лечение, нужно знать хотя бы общие признаки проблемы. И если говорить об экссудативной форме заболевания околосердечной сумки, то нужно обратить внимание вот на что: при такой проблеме факт скопления жидкости обнаруживают часто во время флюорографического обследования, а также при использовании эхокардиографии.
Если была зафиксирована опухоль грудной клетки или легких, также есть смысл подозревать развитие перикардита. Подобный диагноз может быть поставлен и у больных с уремией, во время которой развивается кардиомегалия без явных на то причин, а также наблюдается повышение венозного давления.
Несколько иначе ситуация обстоит с такой проблемой, как констриктивный перикардит, симптомы которого на ранней стадии часто фактически не заметны. Ощутимые признаки болезни дают о себе знать уже когда в околосердечной сумке накапливается достаточно жидкости для того, чтобы усложнить работу сердца. Явные признаки появляются со временем после физических нагрузок в виде сильной одышки и повышенной утомляемости. У людей с такой проблемой может фиксироваться факт внезапного похудания и заметное снижение аппетита.
Есть и другие признаки, указывающие на констриктивный перикардит сердца. Симптомы со временем все больше могут напоминать последствия правожелудочковой сердечной недостаточности. Речь идет об асците, периферических отеках, болях и тяжести в правом подреберье.
Как проявляется сухой перикардит
Говоря об этой форме заболеваний околосердечной сумки, нужно обратить внимание на тот факт, что данной проблеме часто предшествует миалгия или лихорадка. Но этим не ограничиваются сложности, которые обуславливает сухой перикардит. Симптомы со временем проявляются в виде боли, которая локализуется в области грудной клетки.
Такая симптоматика может сохраняться на протяжении нескольких дней и даже недель, достаточно четко выражая себя при этом за грудиной. Возможны болевые ощущения в обеих руках или одной верхней конечности, а также в трапециевидных мышцах. Боль становится особенно острой при попытке изменить положение тела. При кашле, глотании и дыхании неприятные ощущения также могут давать о себе знать.
В некоторых случаях болевой синдром может беспокоить круглые сутки. При этом будет наблюдаться иррадиация в одну или обе руки. Подобное состояние способно стимулировать инфаркт миокарда.
При этом возможно и отсутствие описанных выше болевых ощущений во время постепенного развития процесса накопления жидкости. Чаще всего подобное состояние обусловлено формированием проблемы с перикардом на фоне туберкулеза, уремии, опухолевых поражений и после сеансов радиационного облучения.
Но болевой синдром — это не единственный симптом, которым сопровождается сухой перикардит. Возможно появление одышки и признаков дисфагии.
Острый перикардит
При такой форме данного заболевания самыми ранним и явным симптомом является боль в области сердца. При этом место возникновения и сила этих неприятных ощущений могут изменяться.
Чаще всего боль наблюдается в нижней части грудины или в верхушке сердца. Возможна иррадиация в шею, левую лопатку и руку.
Когда наблюдается обострение перикардита, симптомы проявляются в форме очень сильной боли. Такое состояние может напоминать инфаркт миокарда или плеврит. В некоторых случаях болевые ощущения имеют ноющий и тупой характер. Иногда больные начинают чувствовать тяжесть в области сердца.
Если при обострении ощущается боль в сердце, то, скорее всего, приходится иметь дело с сухим перикардитом.
При обострении не исключается появление одышки, которая будет свидетельствовать о наличии выпота в околосердечной сумке. При этом чем больше жидкости успело накопиться в перикарде, тем сильнее будут проблемы с дыханием. Для того чтобы на время улучшить самочувствие нужно сесть. В этом случае одышка заметно уменьшится за счет концентрации экссудата в нижней части околосердечной сумки и, как следствие, снизится давление на само сердце. Кровообращение в итоге улучшается, и больной ощущает облегчение.
Сама одышка может сопровождаться кашлем, а в некоторых случаях даже рвотой.
Как проявляется перикардит у детей
Как и говорилось выше, подобные проблемы с работой сердца в раннем возрасте явление редкое. Тем не менее риск развития такого заболевания до момента совершеннолетия возможен.
Итак, как же выглядит перикардит у детей. Симптомы у столь юных пациентов, как и у взрослых, часто являются признаками развития другого, основного заболевания. Чаще всего речь идет о воздействии различных вирусов. Значительно реже болезнь развивается на фоне туберкулеза или ревматоидного артрита. Причиной возникновения болей в сердце может быть и воздействие на детский организм заболеваний соединительной ткани, например, системной красной волчанки.
Еще одна причина, по которой в раннем возрасте происходит поражение околосердечной сумки — это тяжелые стафилококковые и, реже, септические процессы. Иммунологический генез характерен для большинства детских перикардитов. В случае развития так называемого уремического перикардита при тяжелой почечной недостаточности болезнь может иметь токсический характер.
Проблемы с околосердечной сумкой у детей при гнойных процессах чаще всего являются метастатическими. Это означает, что развиваются они по причине либо прорыва гнойного очага в перикард из миокарда, либо вследствие гематогенного заноса.
Что касается общей симптоматики, то к ней можно отнести умеренный цианоз, одышку, колющие боли в области сердца и лихорадку.
В случае с развитием сухого перикардита будет прослушиваться над сердцем шум трения перикарда. Нередко за сухой формой следует эксудативная и к этому нужно быть готовым. В таком состоянии боли и шумы трения исчезают, но расширяются размеры сердечной тупости и ухудшается состояние в целом.
Вот как проявляется детский перикардит. Симптомы и лечение в данном случае — это исключительно компетенция врача. Родителям лучше не пытаться воздействовать на организм любимого чада самостоятельно. Быстрый визит в больницу будет лучшим решением.
Диагностика
Разумеется, не все обыватели являются настолько искушенными знатоками медицины, чтобы самостоятельно определять явные признаки сухого перикардита без помощи врача. Именно поэтому важно помнить о том, что в условиях современной медицины всегда есть возможность пройти диагностику при участии квалифицированных медиков.
Итак, если ухудшилось самочувствие и появились ощущения, хотя бы отдаленно напоминающие симптомы перикардита, нужно сразу идти к врачу, который сможет во время осмотра определить наличие внешних признаков основного заболевания и лихорадки в том числе. При помощи пальпации в случае развития перикардита можно выявить шум трения околосердечной сумки над областью сердечной тупости.
Как правило, такой шум еще и выслушивают, чтобы получить более точную картину состояния пациента. Для этого используется фонендоскоп, который сильно прижимается к грудной клетке. Больной в это время должен находиться в вертикальном положении, задерживая дыхание на выдохе.
Для более точной диагностики могут использоваться лабораторные данные, а также показания ЭКГ.
Симптомы перикардита на ЭКГ, особенно при острой сухой его форме, выражаются в виде признаков, характерных для субэпикардиального повреждения миокарда. Если происходит значительное скопление жидкости, то признаки болезни при данном виде диагностики будут выражаться посредством снижения вольтажа комплексов QRS.
Лечение
При таком заболевании, как перикардит, симптомы и лечение требуют грамотной оценки и подхода. Прежде всего нужно обеспечить постельный режим. Данное правило особенно актуально в случае диагностирования экссудативной формы заболевания. В среднем подобный режим длится около месяца и расширять его можно только в том случае, если заметны значительные улучшения в состоянии больного.
Если же был зафиксирован сухой перикардит, то острой необходимости в постоянном пребывании в постели нет.
Но, возвращаясь к экссудативной форме, нужно отметить, что при ее обострении необходима незамедлительная госпитализация в отделение интенсивной терапии. Больного должен будет осмотреть торакальный хирург. Что касается питания во время такого заболевания, как перикардит, то данный вопрос регулируется с учетом основной болезни.
Если причиной скопления жидкости в перикарде стала инфекция, то может быть назначено лечение антибиотиками. В случае с туберкулезом также применяются соответствующие препараты, но такое лечение потребует значительно больше времени.
Часто при проблемах с околосердечной сумкой назначается воздействие посредством противовоспалительных средств. Для снижения выраженности перикардита и нейтрализации болевого синдрома актуальны такие нестероидные препараты, как «Вольтарен», «Индометацин» и др.
Глюкокортикостероиды помимо вышеописанного воздействия способны оказать иммуносупрессивный и антиаллергический эффект. По этой причине они определяются, как действенные средства патогенетической терапии.
Такие препараты показаны в случае диагностирования следующих видов перикардита:
— при инфаркте миокарда, он же синдром Дресслера;
— в случае системных заболеваний соединительной ткани;
— если имеет место активный ревматический процесс;
— при стойком туберкулезном перикардите;
— экссудативная форма с невыясненной причиной и сопровождающаяся тяжелым течением.
В большинстве случаев назначается такой препарат, как «Преднизолон». Этот курс длится, как правило, несколько недель с постепенной отменой использования данного средства.
Внимание стоит уделить и пункции перикарда. Речь идет о проколе полости околосердечной сумки и эвакуации выпота, создающего давление на сердце. Такую пункцию проводят в неотложном порядке в том случае, если присутствует быстрое накопление экссудата, ведущего к угрозе возникновения тампонады сердца.
Пункция может также проводиться и при гнойной форме заболевания при этом после удаления жидкости в перикард посредством иглы вводятся антибиотики и другие актуальные в случае с конкретным больным лекарства.
Быстрое накопление экссудата может привести также к развитию констриктивного перикардита. В таком состоянии необходимо ограничить потребление поваренной соли до 2 г в день и значительно снизить количество жидкости, которую потребляет больной. Актуальным будет назначение мочегонных препаратов.
При особо тяжелых случаях может быть проведено хирургическое вмешательство. Используется оно преимущественно при отсутствии желаемого результата после медикаментозного лечения во время констриктивного перикардита. Когда состояние пациента улучшается хирург проводит перикардэктомию для того, чтобы освободить левый желудочек сердца от постоянного сдавливания.
Народные средства
Есть ряд альтернативных методик для воздействия на такую проблему, как перикардит. Симптомы и лечение народными средствами проявлений данного заболевания — это актуальная тема. Но стоит понимать, что заменять народными методиками основной лечебный процесс — это большая ошибка. Скопление жидкости в околосердечной сумке является проблемой, сопровождающейся быстрыми осложнениями, которые без грамотной диагностики и квалифицированного лечения нейтрализовать не получится.
Народные средства допустимы только в восстановительном периоде, как сопроводительное воздействие. Но в любом случае самодеятельность не приветствуется, лучше все действия предпринимать после консультации с лечащим врачом.
Что касается актуальных снадобий, то приемлемыми являются отвары из шиповника, земляники, боярышника и зверобоя.
Для тех, у кого есть домашние питомцы, будет актуальна тема: «Перикардит у собак: симптомы и лечение». В принципе, проблемы с околосердечной сумкой могут быть и у других животных. Симптомы при такой проблеме сводятся к появлению лихорадки, болезненности в области сердца, а также общего угнетения животного, которое болеет. В целом симптоматика схожа с течением болезни у человека, поэтому при подавленном состоянии домашнего зверя лучше отвести его к ветеринару, иначе можно столкнуться с серьезными осложнениями.
Симптомы перикардита у животных могут появляться и после повреждений различного рода. Поэтому, если любимый пес получил травму, организовать проверку его состояния через время просто необходимо.
Итоги
Перикардит является достаточно серьезным заболеванием, поэтому игнорировать его нельзя. По этой причине обывателям стоит ознакомиться хотя бы с общими симптомами. Это позволит вовремя распознать опасный недуг и обратиться к врачу. При таком подходе есть все шансы пройти эффективное лечение, предупредив возможные осложнения. Не стоит забывать, что если на факт скопления жидкости возле сердца никак не воздействовать, может наступить летальный исход. Так что лучше найти время для дополнительного визита к врачу.
Перикардит причины
Перикардит сердца может быть инфекционного характера и асептического. В большинстве зарегистрированных случаев перикардит развивается на фоне туберкулеза легких и ревматизма.
Перикардит при ревматизме имеет свои особенности: в патологический процесс вовлекается не только перикард, но и эндокард, и сама сердечная мышца. Перикардиты и ревматической, и туберкулезной природы – это следствие инфекционно-аллергического процесса в организме. Туберкулезное повреждение перикарда происходит при попадании инфекционного агента в околосердечную сумку по лимфатическим сосудам из пораженных легочных тканей и лимфоузлов.
Риск возникновения перикардита существенно возрастает при таких заболеваниях, как грипп, скарлатина, ангина и корь. Поспособствовать развитию этого состояния может и сепсис, а также грибковые и паразитарные инвазии.
В некоторых случаях перикардит может вызвать пневмония, воспалительные процессы в плевре и эндокардит. В этих случаях инфекционный агент перебрасывается на сердце посредством кровеносных или же лимфатических сосудов грудной клетки.
Аллергия на какой-либо медикаментозный препарат или сыворотку тоже может привести к воспалению сердечной сумки. Высокому риску возникновения перикардита подвержены люди, страдающие системной красной волчанкой и ревматоидным артритом.
Иногда перикардит может стать следствием перенесенного инфаркта, эндо- или миокардита. Неинфекционный перикардит может развиться в послеоперационном периоде, при травмах сердца (колотые раны, сильные ушибы). К воспалению перикарда и накоплению патологической жидкости могут привести раковые опухоли, подагра и действие токсинов организма, например, при уремии. Развиться перикардит может и в перикарде с врожденными дефектами (различные кисты и выпячивания стенки), а также у людей с нарушенным кровообращением и отеками разного генеза.
Бывают первичные (возникающие как самостоятельное заболевание) и вторичные (как следствие уже имеющихся болезней) воспаления перикарда.
Перикардиты могут быть локальными, частичными и разлитыми. По течению выделяют острые и хронические формы этого патологического процесса. Процессы при остром перикардите развиваются стремительно, общая продолжительность болезни не превышает 5-6 недель.
Выделяют экссудативный и сухой перикардит. При сухом в серозную оболочку по сосудам поступает большое количество крови, поэтому фибрин просачивается в полость перикарда. При выпотном перикардите жидкость в больших количествах собирается между наружным и внутренним листком перикарда. Экссудат при таком виде перикардита может быть различного характера: кровянистый, серозный, серозно-фибринозный и гнилостный.
Хроническое воспаление перикарда длится более полугода, прогрессирует медленно. Бывает выпотной, слипчивый и экссудативно-слипчивый хронический перикардит. Хронический выпотной перикардит развивается так же, как и острый, только процесс занимает больше времени. Адгезивный, или слипчивый, перикардит — остаточное явление после других воспалений околосердечной сумки, характеризующееся явным спаечным процессом. Последний тип хронического воспаления перикарда собирает в себе признаки двух предыдущих.
Перикардит симптомы
Проявления перикардита напрямую зависят от типа процесса, его длительности и вида экссудата. Патология в большинстве случаев возникает на фоне уже существующей болезни, поэтому специфической клиники может не быть.
Зачастую больные с перикардитом отмечают у себя болезненные ощущения в груди разной силы, трудности при дыхании, особенно после нагрузок, частое сердцебиение, аритмичный ускоренный пульс, сухой кашель, высокую температуру, ухудшение общего состояния, шум, создающийся при движении перикарда.
Человек, предъявляющий подобные жалобы, подвергается углубленному обследованию. В него входит полный осмотр, эхо- и электрокардиография, рентген органов средостения, клинические анализы. При осмотре будут хорошо визуализироваться набухшие вены шеи, синюшный оттенок кожи, особенно на кончиках пальцев, возле губ и носа, отеки ног. При исследовании с помощью фонендоскопа будет слышен шум трения. На ЭКГ врач увидит смещение вверх сегмента ST, а эхокардиография укажет на присутствие жидкости между листками. В крови будет ускорена СОЭ, высокий уровень С-реактивного белка, лейкоцитоз, повышена лактатдегидрогиназа. Анализ крови поможет обнаружить маркеры, характерные для патологии миокарда: уровень тропонина и креатинфосфокиназы. Рентген информативен, если есть серьезные нарушения конфигурации сердца.
Экссудативный перикардит
Перикардит с признаками усиленной экссудации зачастую имеет место после перенесенных заболеваний воспалительного характера или аллергических реакций. Он является осложнением таких серьезных болезней, как туберкулез и ревматизм, стрепто- и стафилококковых инфекций.
Главный признак экссудативного перикардита– накопление жидкости (экссудата или транссудата) между листками перикарда. Постепенно париетальный листок начинает истончаться и деформироваться. Первое время гемодинамика не страдает из-за повышения давления в венах, так как это способствует нормальному наполнению отделов сердца кровью. По мере пребывания жидкости усиливается давление на сердечную мышцу, она начинает сжиматься, из-за чего нарушается физиологически нормальный акт сердечных сокращений.
Проявления экссудативного перикардита зависят от характера накопившейся жидкости, степени тяжести протекания, количества экссудата и темпов его пребывания. Из-за того, что сердечной мышце трудно расшириться на диастоле, больной человек жалуется на слабый пульс, выраженную цианотичность кожи, общую слабость, которая может привести к кратковременной потере сознания.
Чтобы поставить правильный диагноз, нужно осуществить пальпацию и перкуссию грудной клетки. На рентген-снимке увеличение сердца будет видно лишь в том случае, если в полости содержится более двухсот миллилитров жидкости. При этом очертания сердца будут сглаживаться, а границы увеличиваться как вправо, так и влево. Эхокардиография имеет преимущество перед рентгеном, потому что позволяет обнаружить жидкость в малых объемах (от 50 миллилитров). На ЭхоКГ будет видна и гиперкинезия контура сердца и перегородки, расположенной между двумя желудочками, а также дефекты клапанов.
К признакам, свидетельствующим о растяжении жидкостью сердечной сумки, относят: сглаживание промежутков между ребрами в области поражения из-за гипотонии мышц, отек сердечных тканей, отставание в дыхании пораженной половины грудной клетки и выпирание эпигастрия по причине вытеснения диафрагмальной мышцы книзу.
Верхушка сердца при экссудативном перикардите поднимается на одно-два межреберья и сдвигается левее. Вены на шее не пульсируют, набухают и становятся полнокровными. Границы сердечной тупости, определяющиеся перкуторно, существенно расширены, сердце увеличено в горизонтальной плоскости, верхняя часть брюшной стенки в акте дыхания участия не принимает.
Голосовое дрожание при экссудативном перикардите усилено, дыхание становится бронхиальным от угла лопатки вниз. В коленно-локтевой позе дыхание восстанавливается, слышна крепитация и хрипы, мелкопузырчатые по своему характеру. При выслушивании сердца тоны приглушены, слышен шум на систоле.
Травматический перикардит
Травматический перикардит – это воспалительный патологический процесс околосердечной сумки, возникающий в результате различных повреждений грудной клетки.
Причиной травматического перикардита может послужить проникающее ранение органов средостения острым предметом, пулевое или осколочное ранение. Нередко травматический перикардит развивается из-за перфорировавшей язвы желудка или пищевода.
Тупая травма также может послужить причиной для развития этого заболевания. Подобные повреждения человек может получить в автомобильной катастрофе, при обвале зданий и длительном пребывании под тяжестью обломков, при неправильно выполненном непрямом массаже сердца, а также в драке.
Перикард может быть поврежден при хирургических инвазиях (операции по установке водителя ритма, при коронарной ангиопластике, при установке катетера в полость сердца в диагностических целях).
Травматический перикардит может быть обусловлен инородным телом – забытым в полости перикарда инструментарием или операционным материалом. Воспаление околосердечной сумки возникает в некоторых случаях и после перикардотомии.
Травматический перикардит зачастую носит экссудативный характер и развивается остро, но в некоторых случаях, при отсутствии обследования и необходимого лечения может перейти в перикардит хронический.
Острый перикардит
Первый симптом острого перикардита – боли в сердце разнообразной выраженности и характера. В большинстве случаев эпицентр болевых ощущений находится в области мечевидного отростка или у верхушки сердца. Боль может распространяться в левую лопатку и руку, шею, эпигастрий. Она бывает резкой, интенсивной и острой, иногда ноющей и тянущей. Подобные ощущения – верный признак того, что перикардит сухой.
Наличие экс- или транссудата характеризуется возникновением одышки, чувством нехватки кислорода. Эти симптомы нарастают в зависимости от количества жидкости и скорости увеличения ее в объемах. В сидячем положении дышать больному становится намного легче, так как жидкость перетекает в нижние отделы и приток крови к миокарду увеличивается. Человек старается облегчить состояние путем наклона туловища вперед.
Из-за того, что патологическая жидкость давит на бронхи и трахею и раздражает нервы, у больного начинается сухой изнуряющий кашель. По причине раздражения веток блуждающего нерва может появиться рвота. Если скопление жидкости происходит в больших количествах, у угла лопатки начинает прослушиваться бронхиальное дыхание.
Фибринозный перикардит протекает без изменения границ сердца.
Экссудативный перикардит характеризуется уменьшением силы верхушечного толчка, вплоть до полного его исчезновения. Крупные вены шеи увеличиваются, но пульсация невооруженным глазом не видна. Большое значение для диагностов имеет расширение границ сердечной тупости (как абсолютной, так и относительной).
При сухом перикардите во время выслушивания тоны не изменяются или становятся немного приглушенными, а при остром выпотном они сильно приглушенные, имеет место тахикардия. Для сухого перикардита, а также выпотного с малым количеством патологической жидкости характерным признаком является звук трения перикарда. Если есть подозрение на острый сухой перикардит, а шум не слышен в вертикальном или горизонтальном положении человека, следует попросить его стать в коленно-локтевую позу или, если это трудно осуществимо, максимально нагнуться вперед. В такой позиции звук трения перикарда будет отчетливо слышен. Его легко отличить от остальных звуков, так как только ему присущ царапающий характер. Лучше всего этот шум слышен при вдохе воздуха. При скоплении выпота характеристики пульса тоже претерпевают изменения: амплитуда пульса становится меньше, в особенности при вдохе. Благодаря этому феномену симптом назвали «парадоксальный пульс». Помимо всего вышеперечисленного у больного наблюдается стойкая гипотония.
При подозрении на острый перикардит необходимо исключить инфаркт миокарда, кардиалгии различного генеза и воспаление плевры. Важно помнить, что перикардит может стать осложнением инфаркта. В этом случае необходимо сделать больному ЭКГ, проверить уровень аланиаминотрансфераз, аспарагинаминотрансфераз, креатинфосфокиназы и лактатдегидрогиназы. Качественный рентген-снимок позволит определить наличие или отсутствие повреждений плевры и легкого. Субъективные ощущения у больного при поражении этих органов и тканей сходны с клиникой перикардита.
Если острый сухой перикардит является самостоятельной нозологией, то он заканчивается благоприятно при условии адекватного медикаментозного лечения и не повлечет за собой никаких последствий. Выпотной же перикардит намного чаще сухого переходит в затяжное течение. Его опасность заключается в том, что очень долго он может развиваться, никак себя не проявляя, а в это время в сердце образуется большое количество спаек.
Пристальное внимание нужно обратить на неспецифический доброкачественный перикардит, встречающийся преимущественно у молодых людей после перенесенных острых респираторных болезней или сильного переохлаждения. Нозология в таком случае имеет острое течение, развивается очень быстро, на протяжении 1-3 дней, характеризуется болью в груди, в проекции сердца, повышением температуры до субфебрилитета и фебрилитета. В крови наблюдается большое количество нейтрофильных лейкоцитов, значительно увеличенная скорость оседания эритроцитов, большое количество С-белка, ДФА. При выслушивании фонендоскопом шум трения отмечается до 4-5 недель. Каждый четвертый случай данной нозологии способен рецидивировать. Зачастую длительность болезни не превышает полутора месяцев и не влечет за собой каких-либо осложнений и остаточных явлений.
В последнее время все чаще встречаются перикардиты, ассоциированные с пневмониями. Они носят инфекционный характер, на фоне пневмонии протекает стерто и очень тяжело поддается диагностике. Боль в этом случае слабая или вообще отсутствует, трение перикарда выслушивается в крайне редких случаях. Количество жидкости при этой болезни скудное, поэтому рентген-диагностика не является информативной.
Этот перикардит угрожает больному переходом в слипчивый, при котором развивается огромное количество спаек по всей поверхности сердца. При обсеменении перикарда гноеродными кокками возможен переход в гнойный перикардит. Он протекает чрезвычайно тяжело. Характерна высокая температура, явления, связанные с отравлением организма эндотоксинами, возрастает вероятность возникновения тампонады. В случае такого перикардита крайне важна своевременная диагностика, так как помочь больному может только хирургическая операция.
Констриктивный перикардит
Сдавливающий (констриктивный) перикардит – достаточно редкое, но опасное последствие хронических форм перикардитов. Он приводит к сдавливанию мышцы сердца и уменьшению наполнения ее кровью. Этой болезни характерно утолщение как наружного, так и внутреннего листка перикарда, кальцификация и облитерация перикарда. Все это приводит к ухудшению кровенаполнения на диастоле.
Вызывают констриктивный перикардит такие болезни, как гнойный и туберкулезный перикардиты, травматический и послеоперационный перикардиты, воспаление сердечной сумки при ревматических заболеваниях, после радиационного облучения органов средостения, перикардит уремический и острый вирусный. Так же он может развиться как осложнение гемодиализа.
В подавляющем большинстве случаев констриктивный перикардит – осложнение одного из экссудативных перикардитов. В норме выпотной перикардит заканчивается полным рассасыванием патологической жидкости. Но иногда случается так, что рассасывание по каким-либо причинам не происходит. Это приводит к формированию фибринозных сращений и, при отсутствии необходимого лечения, происходит полная облитерация полостей. Результат – формирование грубых рубцов по всей поверхности сердца, которые препятствуют нормальным сердечным сокращениям и наполнению камер кровью. Нарушение физиологической диастолы приводит к уменьшению ударного объема и давления, нарушению наполнения кровью органов, находящихся на периферии.
Характерные жалобы при констриктивном перикардите заключаются в формировании триады Бека: аномально высокое давление в венах, асцит, уменьшенное сердце с приглушенными тонами. Развернутая клиника может манифестировать как через месяц от начала, так и через несколько лет. Первыми появляются признаки, характерные для снижения сердечного выброса крови: апатия, слабость, вялость, учащение биения сердца. Сначала такие симптомы имеют место исключительно при нагрузках на организм, а позднее проявляются и в состоянии покоя.
За короткое время к вышеперечисленным симптомам добавляется одышка. Сначала она проявляется себя при физических нагрузках, а затем – в покое. Причина одышки – это не застойные явления, а снижение количества крови в легочной артерии, приводящее к нарушению газового баланса. Характерным отличием от сердечной недостаточности является то, что в положении лежа одышка не усиливается и отсутствует ортопноэ. Отек легких и сердечная астма тоже не развиваются. В большом круге кровообращения начинаются явления застоя. Это сопровождается увеличением живота и печени. Из-за перебоев в работе печени больные стремительно теряют вес, развивается отвращение к продуктам питания, отечность ног.
При осмотре внимание на себя обращает очень увеличенная шея, отек распространяется также на голову и плечи. Это явление называется в медицине воротником Стокса, которое говорит о нарушении гемодинамики верхней полой вены и является признаком не только сдавливающего перикардита, но и раковых опухолей средостения.
Больные стараются находиться в лежачем положении, без подушек и подголовников. При пальпации печени отмечается значительное увеличение ее левой половины, болезненность при надавливании, орган плотный. Не смотря на то, что гемодинамические нарушения выражены очень ярко, застой в легких не обнаруживается.
При исследовании сосудов можно отметить набухание вен на шее, которое невозможно снять даже сильными диуретическими препаратами. Выпячивание вен особенно хорошо видно, когда пациент делает вдох. Верхушечный толчок и пульсационные волны в эпигастральной области обнаружить не удастся. Глубокий вдох может сопровождаться втягиванием межреберий. Этот признак свидетельствует о развитии спаек между перикардом и стенкой грудной клетки.
Важной диагностической особенностью является то, что при повороте человека на правый бок границы сердца совершенно не смещаются, так как посредством рубца сердце крепко сращено с передней стенкой. При аускультации слышен ритм галопа, обусловленный возникновением дополнительного третьего тона. Третий тон – перикард-тон, отличается своей интенсивностью.
Прогноз констриктивного перикардита в основном зависит от характера течения главного заболевания. Срок жизни без лечения хирургическим путем составляет не более десяти лет, но при адекватном лечении прогноз и качество жизни улучшается.
Перикардит лечение
Схема лечения напрямую зависит от вида перикардита и тяжести течения нозологии. При острой форме необходима госпитализация в больницу, перикардит с легкими проявлениями можно лечить и амбулаторно.
С целью терапии перикардита применяют нестероидные противовоспалительные препараты. Хорошо зарекомендовал себя Ибупрофен. Он имеет минимальное количество побочных эффектов и хорошую переносимость. Дозировка этого средства зависит от формы и тяжести течения перикардита и колеблется в пределах 400-800 миллиграмм на один прием. Принимают его три раза в сутки после употребления пищи. Детям дозируют из расчета тридцать миллиграмм на один килограмм массы тела. Если в патологический процесс вовлечена печень или у пациента больные почки, лекарство нужно назначать особо осторожно.
Если больной страдает ишемическим заболеванием сердца, Ибупрофен следует заменить на Аспирин или Диклофенак.
Легкую форму перикардита лечат путем назначения Диклофенака в виде таблеток. Этот препарат принимают по двадцать пять-пятьдесят миллиграмм каждые восемь-двенадцать часов. Острые формы перикардита с развернутой клиникой лечат инъекционной формой лекарства. Назначают уколы Диклофенака в дозе семьдесят пять миллиграмм на одну инъекцию. Уколы делают в ягодичную мышцу два-три раза в сутки. Если у больного есть язва желудка в периоде обострения, этот препарат назначать нельзя.
Аспирин назначают по пятьсот-тысяче миллиграмм два-четыре раза в сутки. Его необходимо назначать с особой осторожностью людям, у которых диагностированы болезни желудка и кишечника, так как это лекарственное средство стимулирует развитие язв.
НПВС назначают под прикрытием лекарств, защищающих желудок от их пагубного воздействия на слизистую (Де-Нол, Алмагель). Де-Нол пьют по одной-две таблетки перед употреблением пищи дважды в сутки. Алмагель принимают по две мерные ложки за двадцать минут до еды. Длительность приема этих средств равна длительности терапии нестероидными противовоспалительными лекарствами.
Если применение у больного Ибупрофена, Аспирина и Диклофенака невозможно, назначают Индометацин. Для лечения острых перикардитов Индометацин колят в мышцу. Доза на одно введение – шестьдесят миллиграмм лекарства. Вводят препарат один-два раза в сутки, длительность приема не должна превышать двух недель. Это средство запрещено к применению у больных, страдающих любыми язвенными процессами, а также бронхиальной астмой, так как могут развиться состояния, несущие угрозу жизни.
Правильность назначенного лечения перикардита оценивают по истечении двух недель. Если терапия дает хорошие результаты, дозу лекарства уменьшают в два раза и продолжают лечение еще семь дней.
Вместе с НПВП назначаются и антибиотики. Пенициллин назначают при неспецифических перикардитах инфекционного генеза. Зачастую препаратами выбора являются Ампициллин и Амоксициллин. Доза Ампициллина на один прием – 500 миллиграмм, количество приемов в сутки – три-четыре. Этот препарат можно принимать независимо от режима питания. Лекарственное средство запрещено к приему у лиц с аллергическими реакциями на пенициллины. Амоксициллин назначается в суточной дозе полтора грамма, разделенной на три приема. При остом осложненном течении перикардита дозу лекарства можно увеличить до трех граммов в сутки.
При перикардите, вызванном туберкулезным поражением легких, применяют Стрептомицин. Необходимая суточная доза Стрептомицина – один грамм. Больным туберкулезом ее вводят внутримышечно однократно. При возникновении нежелательных эффектов суточную дозу можно вводить в два приема.
Перикардиты, вызванные системной красной волчанкой или ревматоидным артритом, лечат глюкокортикоидами. Хорошо зарекомендовал себя синтетический аналог под названием Преднизолон. Его обычно назначают в небольших дозах (десять-пятнадцать миллиграмм в сутки). При тяжелом течении дозу можно увеличивать до тридцати миллиграмм (шесть таблеток).
Лечение констриктивного перикардита заключается в хирургической операции по удалению обоих листков перикарда, так как терапия препаратами здесь не даст никакого эффекта.
Тампонаду сердца зачастую тоже лечат хирурги, но в некоторых случаях возможно медикаментозное лечение мочегонными средствами. В этом случае главной целью является полное излечение первичного заболевания.
Причины
Перикардит могут вызвать инфекционные и неинфекционные факторы. Встречаются перикардиты невыясненной этиологии, они называются идиопатическими.
Причины инфекционного перикардита:
- ревматизм;
- туберкулез;
- бактериальные инфекции: кокковые (при пневмонии, сепсисе) и специфические (брюшной тиф, дизентерия, холера, бруцеллез, сибирская язва, чума, туляремия);
- простейшие;
- грибки;
- вирусы (грипп, Коксаки);
- риккетсии.
Причины неинфекционного (асептического) перикардита:
- аллергическая реакция;
- диффузные заболевания соединительной ткани;
- болезни крови и геморрагические диатезы;
- злокачественные опухоли;
- травмы сердца;
- лучевое воздействие;
- аутоиммунные реакции (после инфаркта, после операций на сердце);
- нарушение обмена веществ (уремия, подагра);
- длительный прием глюкокортикостероидов;
- гиповитаминоз С.
Механизмы развития
Развитие инфекционного перикардита связано с проникновением в полость перикарда возбудителей по кровеносным и лимфатическим путям, реже из гнойных очагов в соседних органах.
Перикардит при инфаркте миокарда возникает, как реакция перикарда на обширный некроз (омертвение) сердечной мышцы или вследствие аутоиммунных реакций (синдром Дресслера).
При уремии перикард выделяет кристаллы мочевины, раздражающие его листки.
В некоторых случаях имеется сочетание инфекционного, инфекционно-аллергического, аутоиммунного, токсического механизмов.
В результате запускается воспалительная реакция, характеризующаяся вначале расширением капилляров, скоплением иммунных клеток в очаге воспаления, проникновением жидкой части крови из тканей в полость перикарда. Экссудативная фаза воспаления сменяется пролиферативной, сопровождающейся образованием соединительной ткани.
Считается, что перикардит в течение жизни встречается у 3 – 5% людей, но диагностируется он значительно реже.
Классификация
Перикардит бывает острым и хроническим.
Острый перикардит может протекать без накопления жидкости в полости перикарда, при этом он называется сухим, или фибринозным.
Если воспаление сопровождается образованием между листками перикарда жидкости, говорят об экссудативном, или выпотном перикардите. Выпот может быть серозно-фибринозным, геморрагическим, гнойным, гнилостным, холестериновым. Экссудативный перикардит может сопровождаться тампонадой сердца – угрожающим жизни состоянием.
Хронический перикардит может сопровождаться образованием выпота. Но чаще он бывает адгезивным, то есть сопровождается накоплением между листками перикарда плотных отложений. Адгезивный перикардит бывает бессимптомным, но часто он сопровождается функциональными нарушениями сердечной деятельности. При отложении в перикарде извести развивается панцирное сердце. В некоторых случаях возникает констриктивный перикардит, при котором листки перикарда теряют эластичность и как бы сдавливают сердце, мешая его сокращениям.
Формы и симптомы
Сухой (фибринозный) перикардит
Характерны боли в области сердца, от слабого покалывания до очень сильных болевых ощущений. Иногда такие боли симулируют инфаркт. Боли могут быть царапающими, ноющими, жгучими и так далее. Они могут быть повторяющимися кратковременными или длиться долгое время. Эти боли не купируются нитроглицерином. Они усиливаются при кашле, чихании, глубоком дыхании, а также часто при надавливании рукой или любым предметом на поверхность грудной клетки. Иногда боль иррадиирует («отдает») в брюшную область, напоминая симптомы острых хирургических болезней. Возможна икота и рвота в результате раздражения диафрагмального нерва. Болезнь обычно сопровождается потливостью, повышением температуры тела до 37,5 — 38˚С. Одышка обычно не выражена.
При аускультации (прослушивании) сердца определяется своеобразный шум трения перикарда, напоминающий хруст снега. Он связан с трением листков перикарда друг о друга. Шум этот изменчивый, может прослушиваться в разные фазы сердечного сокращения, усиливается при надавливании фонендоскопом на грудную клетку.
Лабораторные данные неспецифичны, определяются основным заболеванием.
На электрокардиограмме (ЭКГ) в первые несколько дней видны довольно наглядные изменения сегмента ST и зубца Т, позволяющие предположить этот диагноз. Постепенно ЭКГ возвращается в норму. Эхокардиография при сухом перикардите несет мало дополнительной информации.
Острый экссудативный перикардит
Часто он является следующей фазой развития сухого перикардита, а иногда возникает как самостоятельное заболевание. Характерна постоянная выраженная одышка, не зависящая от физической нагрузки. Больной принимает вынужденное положение сидя, наклонившись вперед, с опорой на руки. Иногда больному становится легче в положении стоя на коленях, прижавшись к подушке. В других случаях больной занимает вынужденное положение лежа на правом боку с подтянутыми к животу коленями.
Через некоторое время боль утихает, что связано с накоплением жидкости, раздвигающей воспаленные листки перикарда.
Выпот в полости перикарда может сдавить вены, впадающие в правое предсердие. При сдавлении верхней полой вены видны набухшие вены шеи, особенно увеличивающиеся при вдохе, отечность и посинение (цианоз) шеи и лица. Если сдавлена нижняя полая вена, появляется увеличение и болезненность печени, быстро увеличивается живот (нарастает асцит), реже возникают отеки на ногах.
В результате сдавления окружающих органов может возникнуть сухой кашель, нарушения глотания, икота, рвота.
У больных астенического телосложения иногда видно выбухание грудной клетки в области сердца или эпигастрия (под мечевидным отростком грудины).
При осмотре определяется ослабление верхушечного толчка. При перкуссии определяется увеличение зоны сердечной тупости, причем она имеет разную конфигурацию в положении больного лежа и стоя. Это связано с перераспределением жидкости под действием силы тяжести.
Характерны «воспалительные» изменения анализа крови: увеличение скорости оседания эритроцитов, лейкоцитоз со сдвигом влево. Во многих случаях проводится пункция перикардиальной полости и анализ жидкости, позволяющий уточнить причину перикардита.
Хронический экссудативный перикардит
Его симптомы сходны с признаками при остром экссудативном перикардите, но развиваются они медленнее. Поэтому общее состояние больного дольше остается без изменений.
Хронический адгезивный, констриктивный перикардит
Адгезивный перикардит характеризуется слипанием воспаленных листков перикарда между собой. При этом листки перикарда остаются эластичными и растяжимыми. Поэтому заболевание протекает без выраженных местных симптомов. Больного беспокоят, в основном, слабость, потливость, одышка, незначительная лихорадка. Могут отмечаться изменения в анализе крови, свидетельствующие о воспалительном процессе. Часто недиагностированный адгезивный перикардит через несколько лет трансформируется в констриктивный.
При осмотре можно заметить вынужденное положение больного полусидя. Отмечается посинение кистей, стоп (акроцианоз), цианоз и отечность лица, набухание шейных вен, расширение сети подкожных вен живота, грудной клетки, конечностей. Иногда определяется выпячивание в области сердца. Появляется асцит (накопление жидкости в брюшной полости с увеличением живота). Отеки нижних конечностей нехарактерны. Они появляются лишь на поздних стадиях болезни.
При исследовании сердца можно отметить, что верхушечный толчок не определяется. Тоны глухие, возможны дополнительные тоны (щелчки). Пульс частый, артериальное давление часто снижено. Определяется увеличенная плотная печень.
На ЭКГ отмечается снижение вольтажа зубцов, нарушения сердечного ритма. При рентгенографии органов грудной клетки сердце чаще всего не увеличено или даже уменьшено в размере, возможно обызвествление перикарда. При эхокардиографии видны перикардиальные сращения. Увеличено центральное венозное давление.
Острый идиопатический перикардит
Предполагается вирусная природа этого заболевания, но часто подтвердить ее не удается. Эта форма бывает преимущественно у молодых мужчин, возникает внезапно, через некоторое время (до месяца) после острой респираторной инфекции, избыточной инсоляции, купания в открытых водоемах. Возникают сильные боли слева от грудины (в прекардиальной области), повышается температура тела до 38˚С и выше. Вначале клиника соответствует сухому перикардиту, а затем – экссудативному. Острый экссудативный перикардит по своим симптомам может напоминать острый инфаркт миокарда.
Идиопатический перикардит часто сопровождается плевритом. Он длится до 2 и более месяцев и склонен к рецидивирующему течению.
Туберкулезный перикардит
Если причину перикардита установить не удается, предполагается, что он имеет туберкулезную этиологию. При этом необходимо тщательно собрать всю информацию о пациенте, его наследственности, использовать все возможные методы для поиска очага туберкулеза в организме.
Туберкулезный перикардит часто имеет вялотекущее, малосимптомное течение, что затрудняет его раннюю диагностику. Больные часто обращаются к врачу лишь при большом количестве выпота в полость перикарда. Постепенно выпот сменяется спайками и сращением листков перикарда с формированием панцирного сердца.
Уремический перикардит
Он относится к асептическим вариантам болезни, то есть не связанным с инфекцией. Возникает у многих больных с почечной недостаточностью, на фоне уремии. Уремический перикардит является прогностически неблагоприятным признаком. Клинически это сухой перикардит, часто безболевой, с последующей трансформацией в геморрагический.
Диагностика
Как минимум, должны быть проведены следующие исследования:
- общие анализы крови и мочи;
- биохимический анализ крови (общий белок и белковые фракции, сиаловые кислоты, трансаминазы, альдолазы, креатинкиназа, серомукоид, фибрин, С-реактивный белок, билирубин, щелочная фосфатаза, мочевина);
- исследование крови на LE-клетки;
- ЭКГ;
- эхокардиография;
- рентгенологическое исследование сердца и других органов грудной клетки.
Дифференциальная диагностика
Накопление в перикарде геморрагической жидкости может быть симптомом злокачественной опухоли – саркомы или мезотелиомы.
При поражении перикарда метастазами из других органов возникает картина сухого или геморрагического перикардита.
Лечение
Лечение перикардита включает режим, этиотропную терапию, применение нестероидных противовоспалительных препаратов и глюкокортикостероидов, пункцию полости перикарда, лечение отечно-асцитического синдрома, хирургическое лечение.
Лечебный режим
Пациенты с тяжелым экссудативным перикардитом должны быть госпитализированы в отделение интенсивной терапии и срочно осмотрены торакальным хирургом для решения вопроса о пункции перикарда.
Питание при перикардите зависит от основного заболевания. Общими правилами является прием пищи более часто, но небольшими порциями, щадящая диета с исключением острого, соленого, отказ от алкоголя и кофеина.
Этиотропная терапия
Лечение причины заболевания во многих случаях приводит к выздоровлению. При инфекционной природе перикардита назначаются антибиотики. При подозрении на туберкулез проводится длительное лечение противотуберкулезными препаратами.
Противовоспалительные средства
Нестероидные противовоспалительные препараты (индометацин, вольтарен) уменьшают выраженность воспаления, обладают обезболивающим эффектом. Глюкокортикостероиды помимо этого оказывают антиаллергическое и иммуносупрессивное влияние, что делает их средством патогенетической терапии перикардита. Показания к назначению глюкокортикостероидов
- перикардиты при системных заболеваниях соединительной ткани;
- перикардит при активном ревматическом процесс;
- перикардит при инфаркте миокарда (синдром Дресслера);
- стойкий туберкулезный перикардит;
- экссудативный перикардит с тяжелым течением и невыясненной причиной.
Обычно назначается преднизолон внутрь курсом до нескольких недель, с постепенной отменой.
Пункция перикарда
Лечение отечно-асцитического синдрома
Отеки и асцит возникают при быстром накоплении экссудата в полости перикарда, а также при констриктивном перикардите. При этом необходимо ограничить поваренную соль до 2 граммов в сутки и уменьшить количество потребляемой жидкости. Назначаются мочегонные препараты (фуросемид, верошпирон).
Хирургическое лечение
Хирургическое лечение проводится при констриктивном перикардите в случае неэффективности медикаментозного лечения. После улучшения состояния больного проводится перикардэктомия с целью освобождения левого желудочка сердца от сдавления.
В послеоперационном периоде необходимо продолжать медикаментозное лечение. Это особенно важно при туберкулезном перикардите.